2021-03-31 21:11:32

远程病理会诊专家
Manfred Dietel
德国科学院院士
德国夏洛特医院魏尔啸病理研究所教授
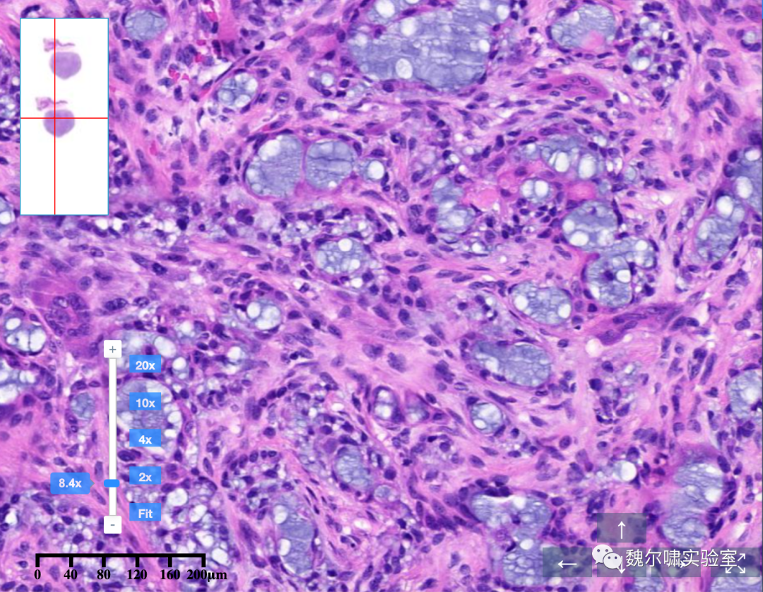
会诊病例1
临床资料
患者,女,30岁,发现左下唇肿物5年余,2016年拔牙(智齿)时发现右下唇颊侧肿物,当时直径约0.6cm,发现至今无不适症状,2020年因美观要求手术切除。
大体检查
带粘膜的结节一枚,大小0.7x0.6x0.5cm,表面尚光滑,切面质地中等,边界尚清,似有包膜。
免疫组化
SMA(小血管+), calponin(局灶+), p63(部分+), CK5/6(上皮+), p40(局灶+), EMA(腺腔样结构+), S-100(+),CK7(+), CD117(少量+),S-100(部分+), DOG1(-), hMAM(-), SMA(少量+), Ki-67(+,5~10%)
特殊染色:消化PAS特染(+),AB特染(+)
初诊意见
(左下唇)结合免疫组化S100阳性,分泌性癌不能除外,肿块大小约0.7x0.6x0.5cm,该病变少见,形态特殊,建议专科医院会诊。
(左下唇)涎腺肿瘤(首先考虑伴有上皮和肌上皮分化的肿瘤,生长较活跃)。
远程病理专家诊断意见
由于呈圆形的生长模式,腺体排列有序,缺乏神经的浸润,清晰的边界,这是嘴唇小唾液腺的良性肿瘤。首选: 肌上皮瘤。
该病例经过魏尔啸病理诊断中心带头人Dietel院士和软组织病理专家Dr.Pahl讨论后,最终确定结果为肌上皮瘤。

随访&小结:
在临床医学中,如果诊断为分泌性癌,临床医生往往会采取相对激进的手术处理方式。对于病人而言,无论从美观的角度还是从心理上来说,都是一次沉重的打击。该患者在求助于省内的病理专家并且没有得到明确的肿瘤良恶性结果后,辗转反侧,最终借助于我们魏尔啸的国际远程病理会诊平台,得到了明确的诊断结果。患者最后并没有进行二次手术,随访至今也没有不适症状。
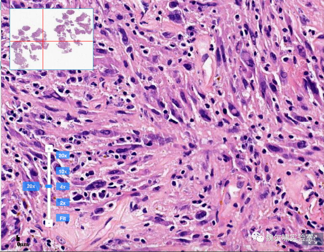
会诊病例2
临床资料
患者,男,19岁,影像学显示胫骨中段局部膨隆,可见团块状异常信号,并与骨髓腔相连,TINI呈较低混杂信号,增强后未见明显强化。影像学诊断为左胫骨占位性病变,良性病变首先考虑,请结合临床病史随诊。
大体检查
左侧胫骨中段组织,体积1cmx0.8cmx0.3cm,另见骨组织一堆,体积0.5cmx0.3cmx0.3cm。
免疫组化
P63(+); Ki67(10%+); VIM(+);Des(-), SMA(局部+),CD68(组织细胞+),P53(散在+)
初诊意见
(左侧胫骨中段)梭形细胞肿瘤,首先考虑骨肉瘤,请结合临床及影像学改变,建议专科医院会诊。
远程病理专家诊断意见
镜下形态显示,根据目前的组织活检,可见浸润性生长:髓内浸润性生长(髓内空间被取代,包围并侵袭原生骨小梁,填充哈弗氏系统),骨皮质破坏伴软组织浸润;肿瘤细胞:显著异型性(多形性,深染),可见多种细胞形态。多种细胞形态通常存在于一种肿瘤内(上皮样,浆细胞样,梭形,小圆形细胞,透明细胞,肿瘤巨细胞)。
最终诊断结果为普通型骨肉瘤(高级别)-建议增加其他染色,通常至少为局部阳性:S100,骨钙素,CD99,SMA;阴性:CD31。

随访&小结:
众所周知,骨肉瘤在临床医学上一直属于是疑难病例,诊断常常需要结合临床资料、影像学和形态学这三方面来综合判断。即使是这样,误诊和错诊经常存在。该青年患者,在影像学没有恶性证据、病理学考虑骨肉瘤的前提下,通过我们的国际远程病理会诊平台,最终得到了明确的病理诊断结果:普通型骨肉瘤(高级别)。该患者之后去上海做了第二次手术,现在按照骨肉瘤的化疗方案进行到第8个疗程,目前状况良好,没有复发和转移。

远程病理会诊服务
病理诊断在临床实践中是举足轻重的,只有明确疾病诊断,才能对症治疗。如果病理诊断错误,后续治疗全盘皆错。如同法官为罪犯下达判决书一样,病理医生为病人下达的病理诊断报告书,相当于给病人的疾病进行最后的“宣判”。因此,病理医生又被形象地称为医院里的“法官”。
然而成为一名合格的“法官”绝非易事。目前,我国病理医生没有像其它临床科室一样进行分科。一个普通的病理医生需要诊断从头到脚、从皮肤到骨髓的所有脏器、组织的约上万种疾病,这需要他们掌握所有这些疾病的大体改变、组织形态学改变、免疫表型及分子遗传学特点等多方面、多层次的知识,这对于一个病理医生是极大的挑战。尤其是在基层医院,对一些疑难少见罕见病例,很难作出明确的病理诊断。这时候,不管是病理医生、临床医生还是患者,都迫切希望得到一个准确可靠的病理诊断结果。
于是乎,病理会诊(病人借出切片资料去外院,通过会诊的形式获得外院的病理诊断报告)应运而生。病人拿着切片资料,甚至不顾舟车劳顿,去寻求省内、国内的那些病理诊断经验丰富、业务能力突出的病理专家帮助,获得这些专家的会诊结果。因为在这些专家所在的大的综合或专科医院,病理医生的理论知识更全面,接触的病种更多样,诊断经验更丰富。
为此,魏尔啸实验室提供了远程病理会诊平台,让患者在家门口即可享受到国内外知名病理专家的病理诊断服务。
我们使用基于互联网技术的远程病理系统与海内外的知名病理学术机构与病理学家建立了国内/国际远程病理会诊网络。该平台已在上海、杭州、柏林和德国多家知名病理研究所部署。柏林夏洛特医院病理研究所作为魏尔啸实验室集团在全球的中心端,对来自国际的会诊病例进行集中分发。目前魏尔啸实验室在德国有22 家学术研究机构,16 个亚专科,200人以上的病理学家团队参与远程病理协作网络,并在病理人工智能技术的助力下,以确保快速、高质量和全面的诊断工作流程来造福广大患者。


魏尔啸实验室通过新的切片扫描技术与新算法相结合,可产生高分辨率和高质量的虚拟显微图像以及有关分子评估的详细信息。这为基于互联网的远程病理服务的广泛应用提供了可能性,包括且不限于:
- 为合作的医疗机构提供全方位病理诊断服务,涵盖常规病理诊断、术中快速冰冻诊断、疑难病理会诊等。
- 为病理医生、临床医生或患者提供第二会诊意见,以便更好解决疑难病例
- 为病理科提供基于AI技术的生物标记物定量分析服务(例如Ki67,ER,PR,HER2,mut ALK 等,可定量指标不断增加中)。
- 提供基于形态学、影像学和分子病理大数据的整合分析与解读服务,为患者的后续治疗提供更多可能性。


